
What You Need to Know About Gingivectomy: Restoring Gum Health and Smile Aesthetics
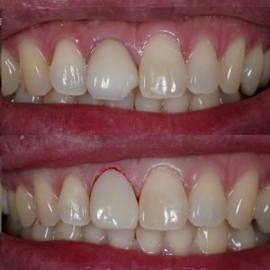
A gingivectomy is a periodontal procedure designed to remove this overgrown tissue and restore both gum health and natural smile proportions.

A gingivectomy is a periodontal procedure designed to remove this overgrown tissue and restore both gum health and natural smile proportions.

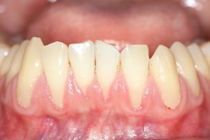
Osseous surgery is a periodontal surgical procedure used to treat severe gum disease that has led to the destruction of bone and gum tissue around the teeth. When gum disease progresses, it creates deep pockets between the teeth and gums, where harmful bacteria and tartar accumulate.